Ortho Hors D'oeuvres (Prompt):
- Luz Silverio
- Mar 17, 2016
- 1 min read
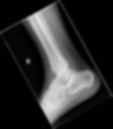
Patient is a 23 year-old female presenting with right ankle pain after tripping over her boyfriend's dog. The patient does endorse alcohol involvement, and has been unable to ambulate on her right leg. She has normal pulses, strength, and sensation distal to her ankle. Images of her ankle are seen below:


Her ankle radiographs are seen below:



Questions:
1) What is this patient's orthopedic injury?
2) What further tests should you attempt in the emergency department?
3) What is the appropriate emergency department management for this patient's injury?























